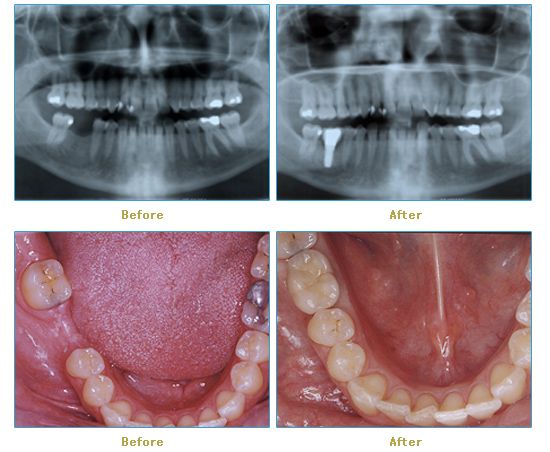
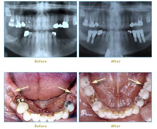
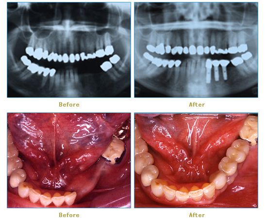
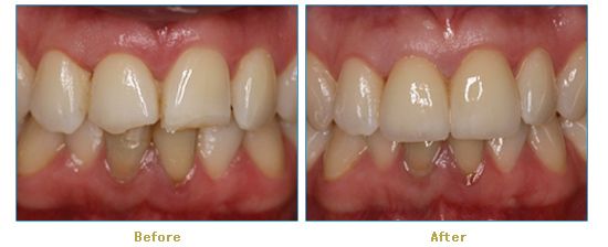
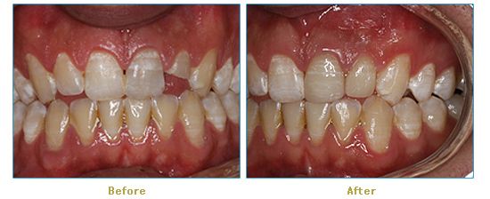
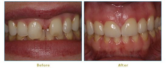
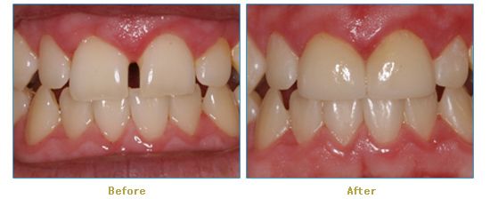
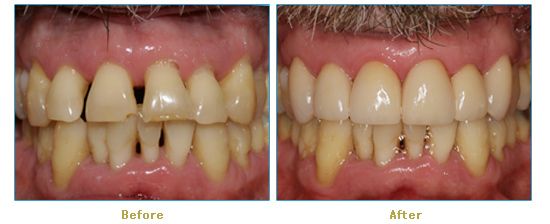
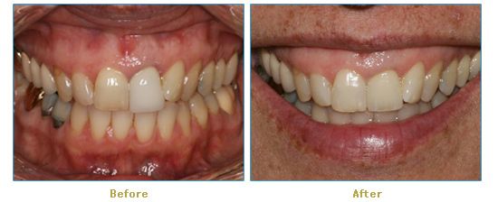
Dr. Cabianca has restored hundreds of smiles through the latest techniques in restorative and cosmetic dentistry. The following before and after photos document a few such cases in which Dr. Cabianca has replaced and reshaped teeth to produce wonderful smiles. Click on any of the images below to view larger versions of the photos.














